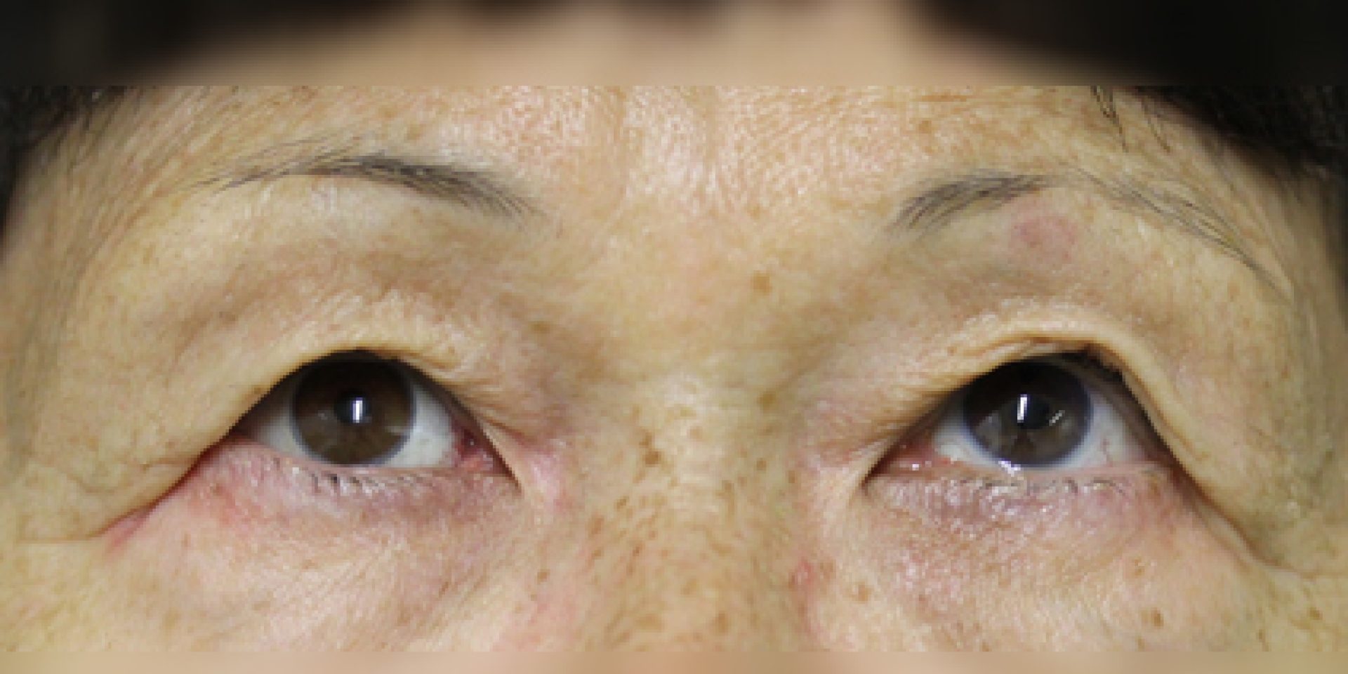
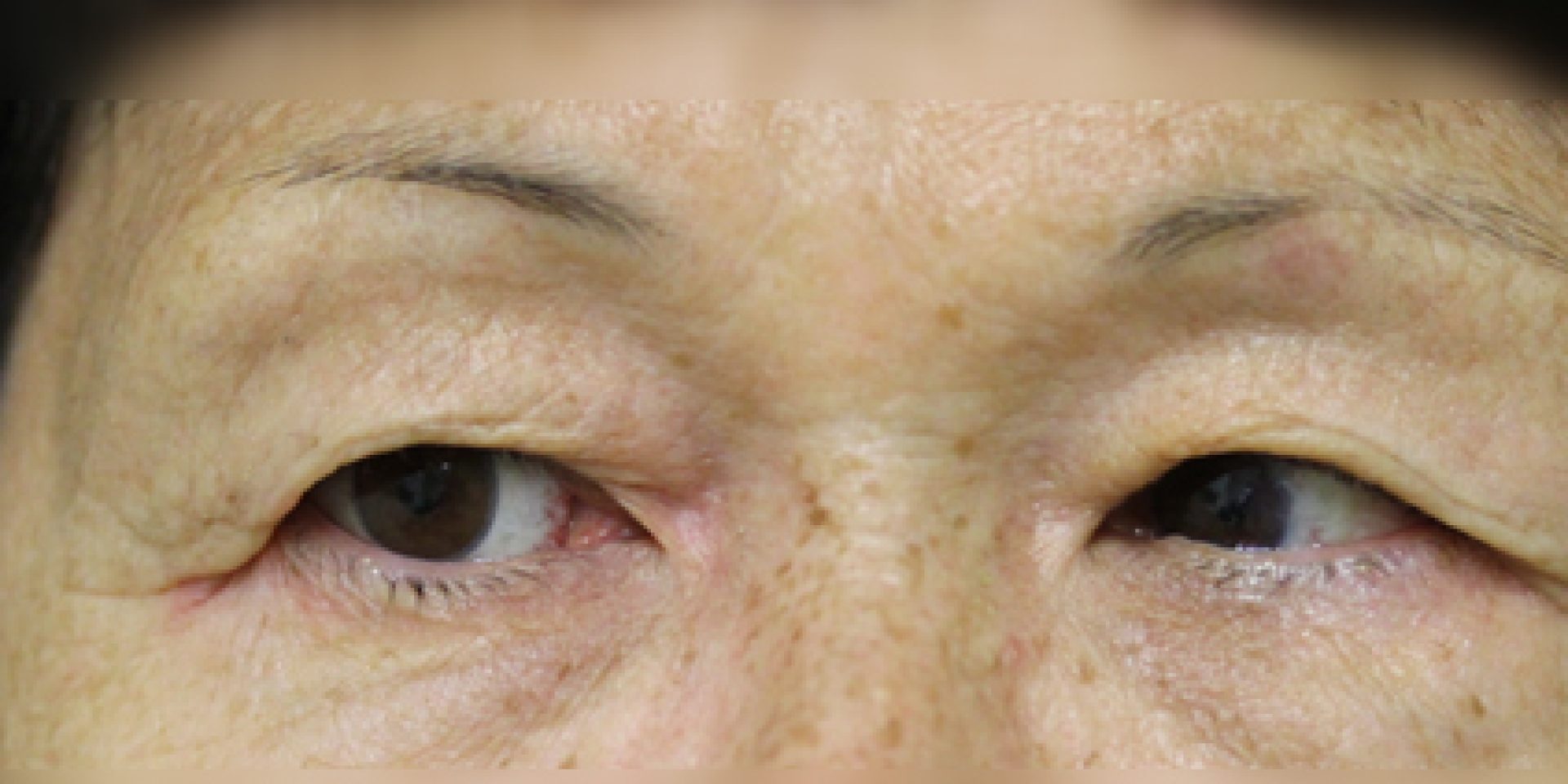
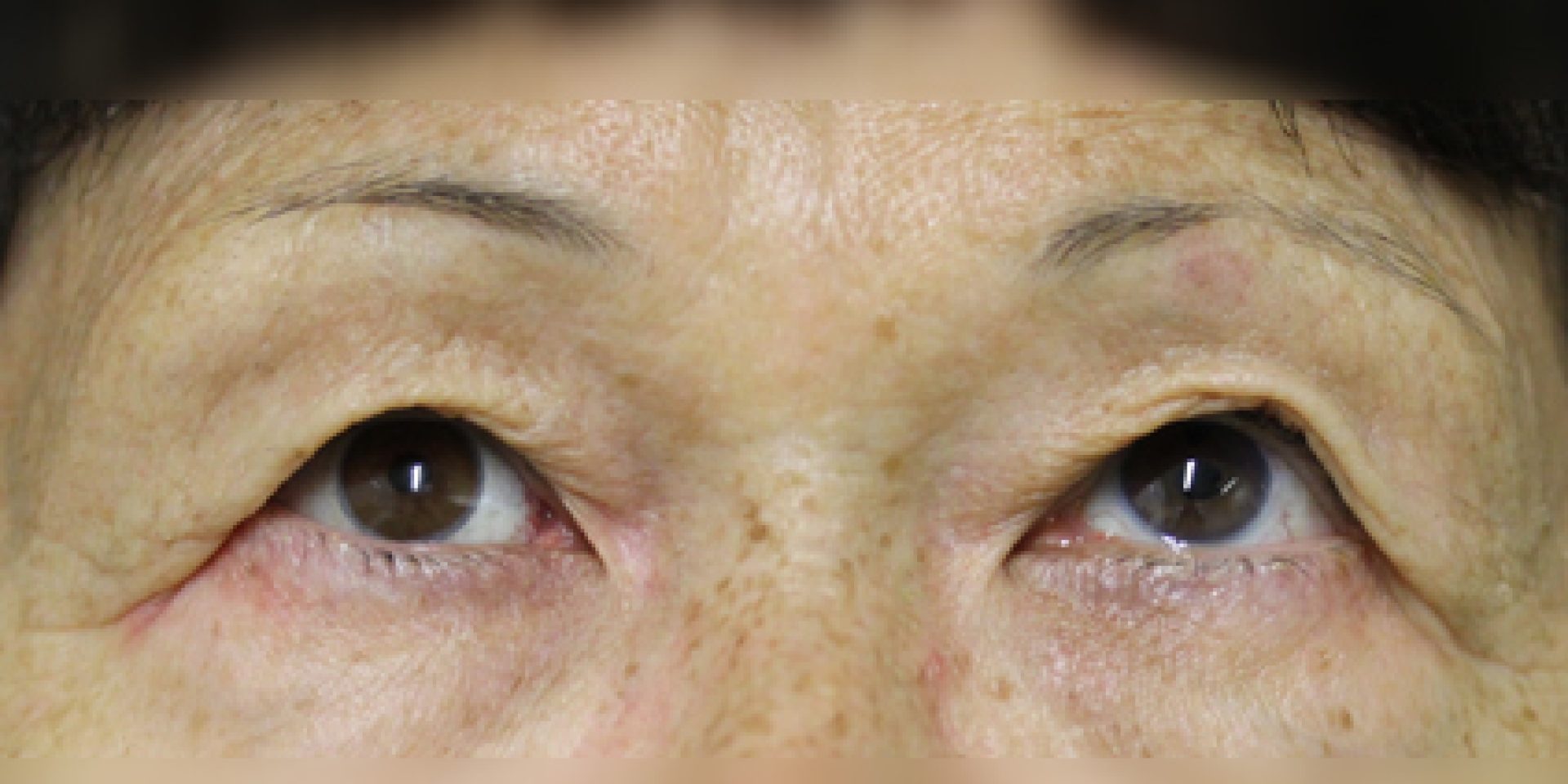
Verre scléral

 

Chargemente en cours de…
Nous sommes disposés à répondre à toute question complémentaire que vous souhaiteriez nous poser.
N’hésitez pas à prendre contact avec notre laboratoire
 
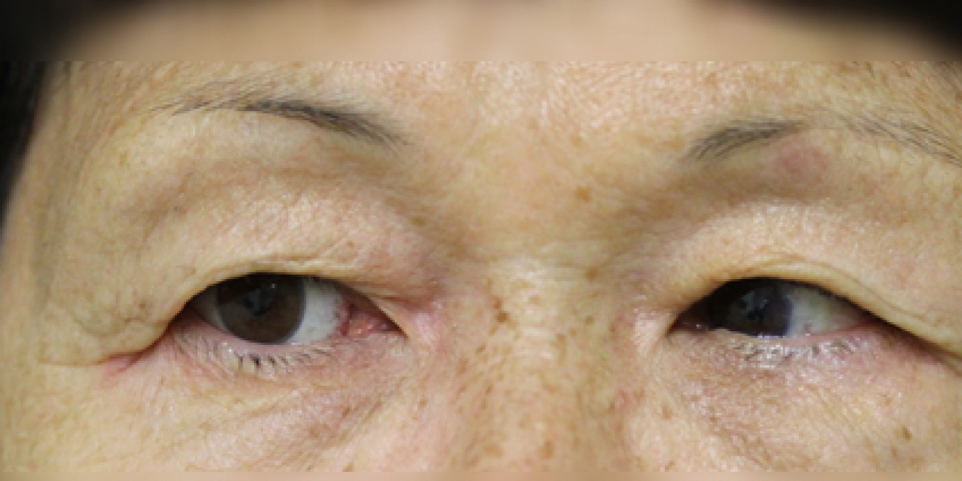
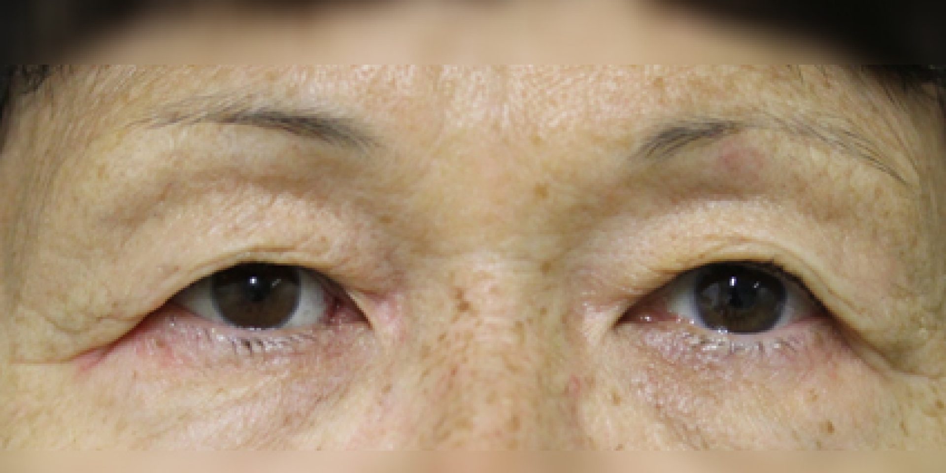
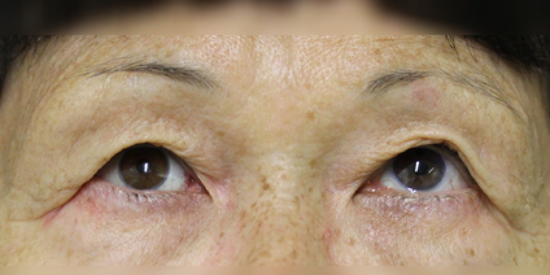
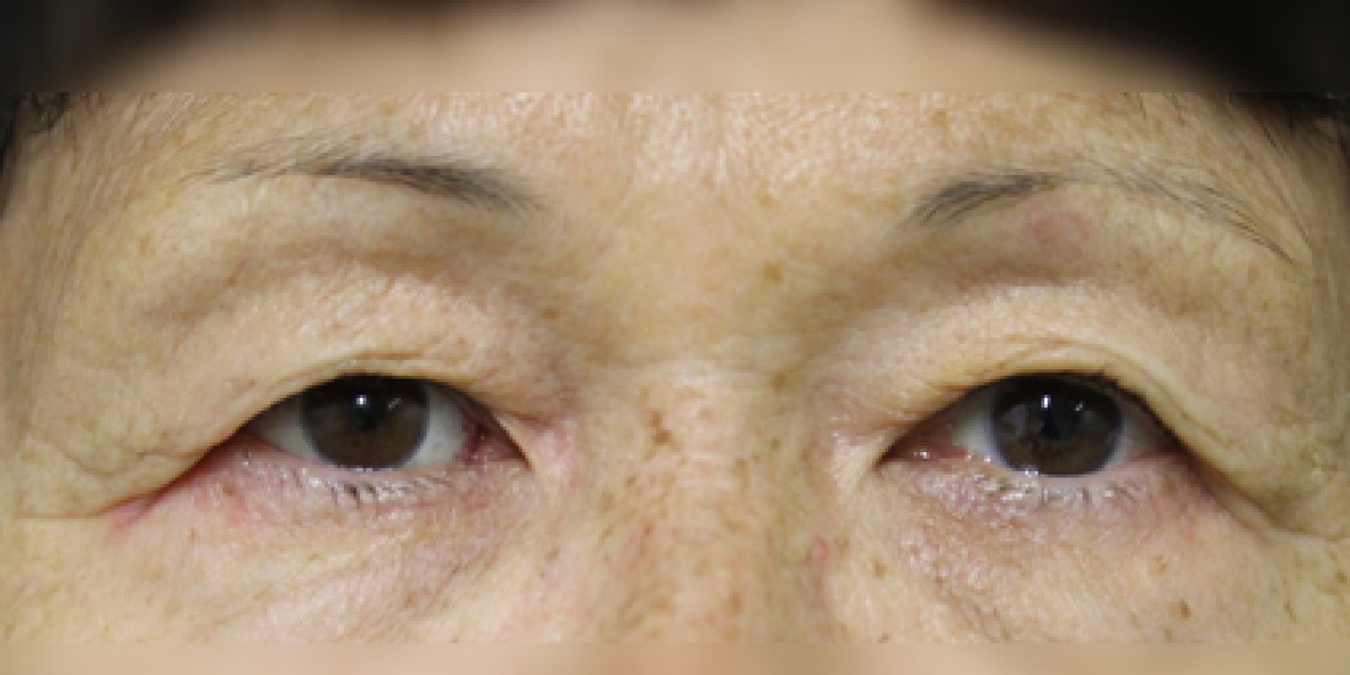
Le verre scléral est une alternative prothétique qui permet de traiter de nombreux cas sans envisager de chirurgie mutilante.
 
La prothèse est réalisée sur des globes non fonctionnels, disgracieux, strabiques, ou phtisiques suite à des traumatismes ou des maladies.
 
Un recouvrement conjonctival peut être pratiqué par le chirurgien lorsque la cornée est trop sensible ou lorsque les manipulations quotidiennes présentent une contrainte pour le patient.
 
Le verre scléral est une excellente alternative à la chirurgie mutilante de l’oeil lorsque le confort le permet.
 

logo-ico