Bulbus-Scleralschale
Für alle weiteren Fragen stehen wir gerne zur Verfügung.
Kontaktieren Sie gerne unser Labor.
>> Ich möchte Kontakt aufnehmen
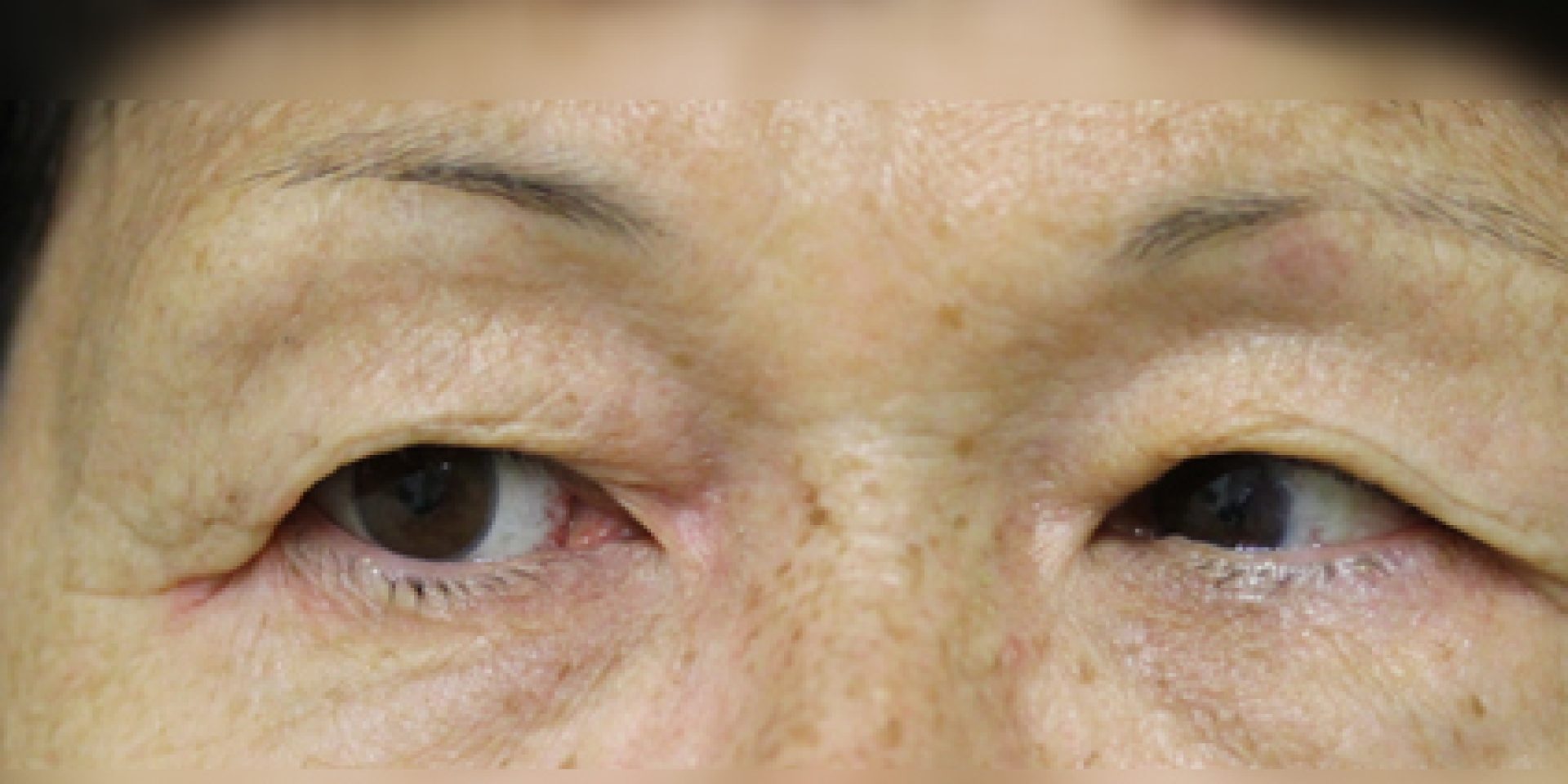
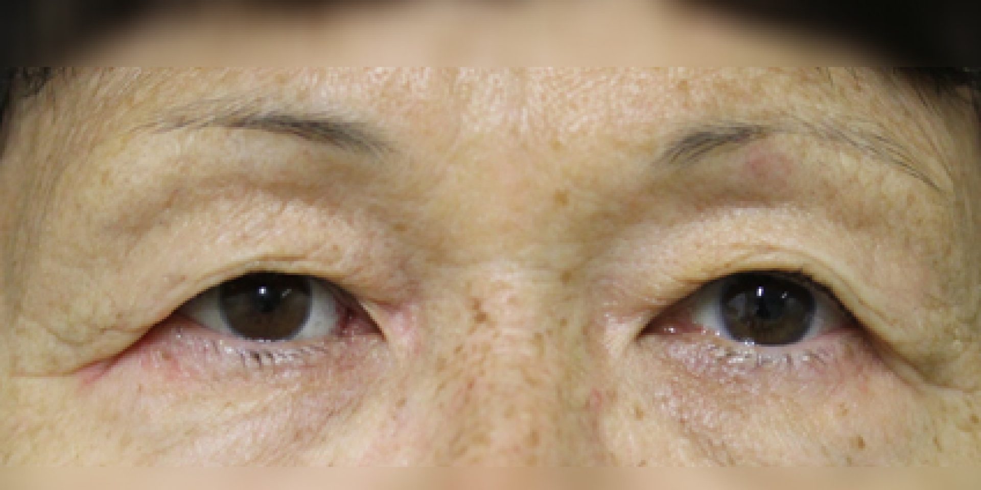
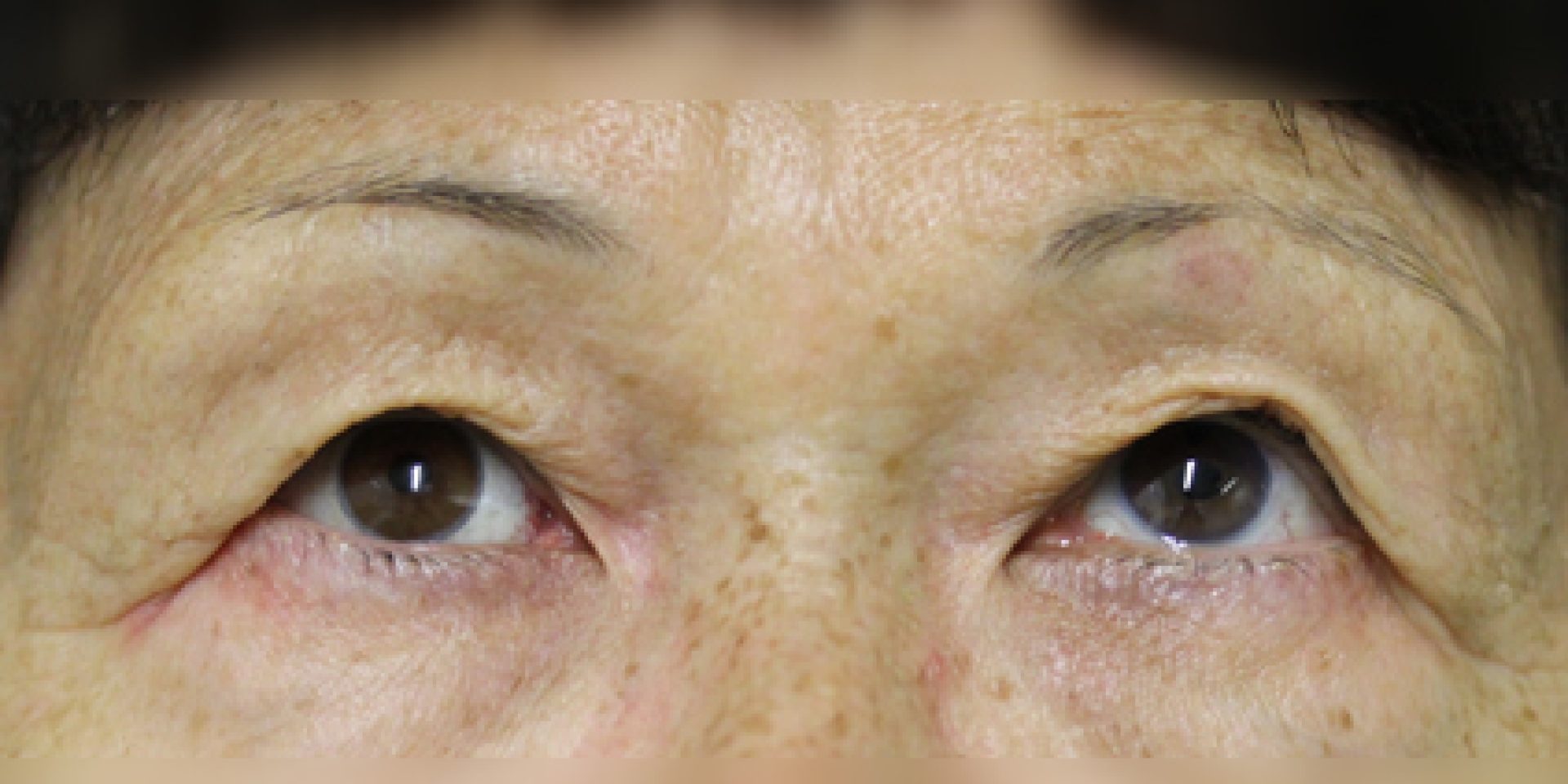
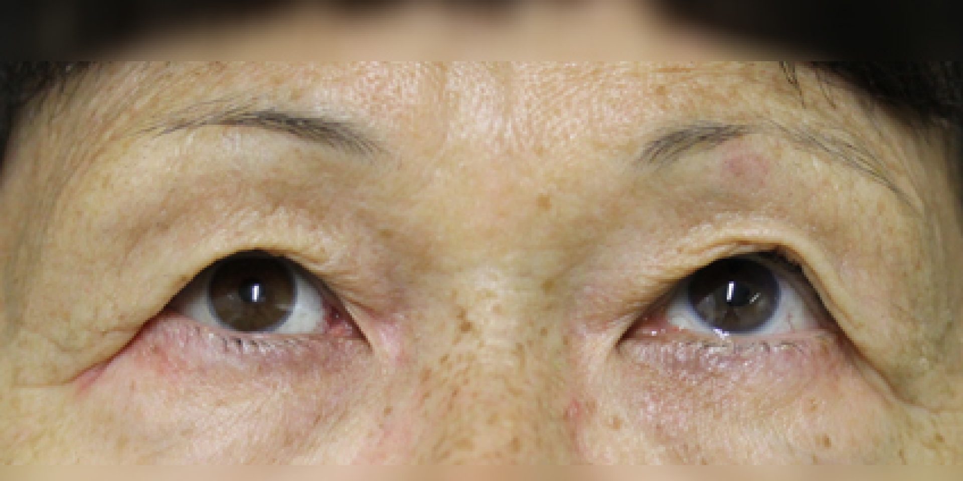
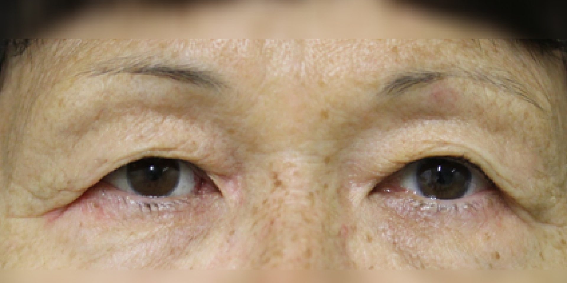
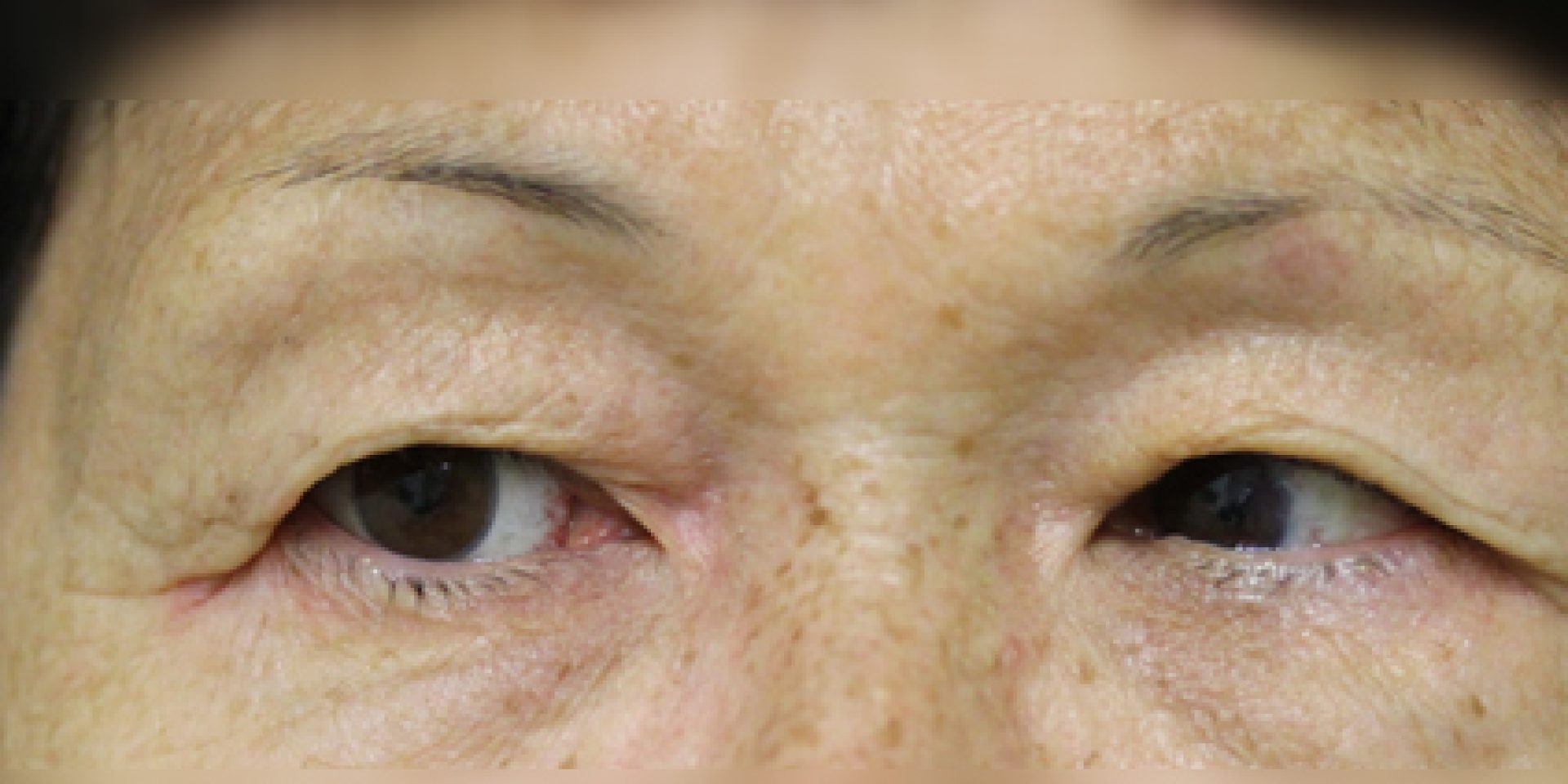
Mit der Bulbus-Scleralschale als empfehlenswerte Alternative zu einer völligen Prothese können viele Fälle ohne entstellendem chirurgischem Eingriff behandelt werden können.
Eine Bulbus-Scleralschale kann auf einem entstellten oder nicht mehr funktionsfähigen Augapfel in Fällen von Strabismus oder phthisis bulbi, nach einer traumatischen Verletzung oder infolge verschiedener Augenkrankheiten angebracht werden.
Bei zu sensibler Hornhaut, oder wenn die manuelle Handhabung der Prothese eine zu große Belastung für den Patienten darstellt, kann der Chirurg eine Bindehaut-Deckung anfertigen.
Immer, wenn der Fall es erlaubt, stellt die Bulbus-Scleralschale eine hervorragende, wesentlich bequemere Alternative zur entstellenden Augenchirurgie dar.
![]()